
Early Treatment
While most young children do not need a first phase of orthodontic treatment, some issues are best and most effectively addressed when your child is young. This is why the American Association of Orthodontists recommends that children first see an orthodontist at the age of 7. At this age, children still have a lot of growing to do, and Drs. Christenson and Oakley can use your child’s already existing growth potential to improve her bite.
For example, if your daughter’s upper jaw is too narrow (she has a crossbite), a palatal expander can be used to widen the upper jaw before her suture fuses. If she doesn’t see an orthodontist before her suture fuses, more invasive (potentially surgical) treatments may be necessary to correct the crossbite.
A very specific group of treatments are recommended for young children as a “Phase 1” treatment (before the child is ready for full orthodontics). Drs. Christenson and Oakley will take the time to explain why your child may benefit from early treatment or if he can be just as easily treated in a single, comprehensive phase of orthodontics. Drs. C & O understand and agree that both parents and children prefer to get everything done at one time!
Some Reasons For Early Treatment
| Reason | What’s That? | What Does It Look Like? | What is Early Treatment Recommended? |
| Underbite | The top front teeth are behind the bottom front teeth when you bite | ![]() | Limited braces or a retainer to move the front teeth and/or a headgear to help the upper jaw grow |
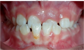
| Partial Anterior Crossbite | 1 or 2 of the top front teeth are behind the bottom front teeth and the rest are in front | ![]() | Limited braces (on the front teeth) to align the front teeth and correct the crossbite |
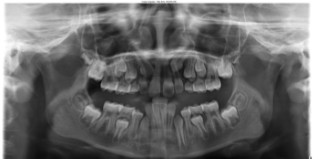
| Posterior Crossbite | The top teeth in the back are inside the bottom teeth in the back. Either on one side or both. | ![]() | In a child, the roof of the mouth is 2 separate bones that can be easity separated to widen the upper jaw. During adolence, the 2 bones fuse in to a single bone, making it more difficult and invasive to widen the jaw. |
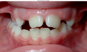
| Severe Crowding | The permanent teeth do not have enough room to erupt (come through the gums) where they belong. | ![]() | Monitored extraction (removal) of baby teeth and possibly some permanent teeth. |
| Thumb or Finger Habit | If a thumb/finger sucking habit persists after age 6, the shape of the upper jaw can change so that there’s not overlap of the front teeth (an open bite) | At home options therapies are the first and best option. If these don’t work, habit reminder appliances can be placed in the mouth. |





Christenson Family Orthodontics